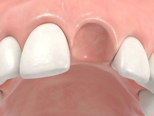
Oral trauma, illnesses, and poor hygienic practices can lead to more than missing teeth or bad-smelling breath. Over time, these issues can lead to the deterioration of the jaw bone. While this might go unnoticed for some, those who wish to replace their missing teeth with dental implants must first undergo a bone graft.
When those in the GTA and surrounding areas need to restore their jaw bone, there is only one professional they trust-and that is Dr. Suzanne Caudry. With decades of experience and countless accolades to Dr. Caudry's name, you will find no one better suited to serve you.
Have you decided that now is the time to address oral trauma and bone loss? Feel free to contact (416) 928-3444 at your convenience.
What Is a Bone Graft?
Many of us only hear about bone grafts in the context of intensive surgeries in hospitals. As effective as bone grafts might be in the repairing of arms and legs, bone grafts are also regularly performed in oral clinics like Dr. Caudry’s. We perform dental bone grafts in areas of the jaw where bone loss has occurred in an effort to add bone density and volume.
Why is it good for the jaw to have optimal bone density? Without adequate bone within the jaw area, individuals are susceptible to all sorts of oral health issues. Teeth may shift, infections might arise, and the jaw will be vulnerable to breakage.
These are just a few of the reasons people inquire about bone grafts. One of the most significant reasons has to do with dental implants. When someone loses a tooth and decides not to replace it with a dental implant, the area of the jawbone in question deteriorates. Without adequate bone throughout the jaw, an individual may not be able to undergo future dental implant procedures. Should the individual decide they want dental implants, they will first have to receive a bone graft.
Thankfully, Dr. Caudry and her dream team staff are the most exceptional dental oral surgeons in the Greater Toronto Area. With years of experience to her name and staff like no other, we perform bone grafts with unrivaled care. We make sure that our patients get the treatment they need.
Bone Grafting for a Better Smile
In addition to a few other health-related benefits, bone grafting is conducted to improve the appearance of your smile. When a tooth falls out or is extracted, the supporting jawbone begins to resorb or shrink. Consequently, the adjacent teeth will eventually shift, altering the alignment of your bite and the appearance of your smile.
Bone grafting can help restore the jawbone's height and width, providing a strong and stable base for dental implants. In turn, it can help to maintain the natural alignment of your teeth and prevent further bone loss. Furthermore, you can enjoy a fully restored smile that functions as before. Lastly, bone grafting can also help to support other dental restorations, such as bridges and dentures, providing a more comfortable and secure fit.
Call now to begin your journey to a new you and experience the benefits of having a beautiful new smile.
Why Dr. Caudry Is the Best Choice for Your Bone Graft Procedure
When it comes to bone grafting, choosing the right periodontist can make all the difference in the success of your procedure. Dr. Suzanne Caudry is an expert in the field with many years of experience conducting hard tissue grafting. She completed her Doctorate of Dental Surgery at McGill University in Montreal and then went on to specialize in Periodontics at the University of Toronto while completing an MSc. Throughout her education, Dr. Caudry received numerous awards and has continued to receive professional recognition throughout her career.
Furthermore, her extensive experience and dedication to her craft make her an excellent choice for patients seeking the best possible outcome for their bone graft procedure. Dr. Caudry takes a personalized approach to treatment, ensuring that each patient receives the care and attention they deserve and that every bone graft procedure is a success.
To learn more about her expertise or procedure-specific questions, please call the office to schedule a consultation.
Bone Grafts: Improving Oral Health
Day after day, we hear from patients who wish to improve their oral health. They want to address their missing and damaged teeth, but have been told that they need a bone graft before undergoing dental implant surgery. In times such as those, patients might feel a little nervous about the long road ahead-but that is no reason to be alarmed. Professionals like those at our facility perform bone graft procedures on a regular basis.
At the facilities of Dr. Caudry, we don't specialize in one aspect of periodontics. Instead, we are skilled in numerous facets. From non-surgical periodontal disease treatment to oral surgery and dental implant rescue, Dr. Caudry and her dream-team staff do it all. One of our finest specialties is the dental bone graft procedure.
When people think of bone grafts, they don't always think of oral surgery. They think of intensive hospital procedures that surgeons only perform under special circumstances. In reality, bone grafting is one of the most sought-after specialties of Dr. Caudry and her team. It is an incredibly popular procedure-moreover, it is more straightforward than one might think. With each passing year, we add another roster of satisfied patients to our lengthy list of successes.
A dental bone graft is a surgical procedure performed to enhance the bone in the jaw. For reasons related to oral trauma and unaddressed tooth loss, the jaw bone might have deteriorated over time. A bone graft strengthens the jaw bone and ensures that the jaw can handle the placement of a dental implant while reducing the risk of future deterioration.
Procedures like this are not rarities in the world of periodontics. Bone grafts are more popular than people might think. While many people might associate bone grafts with reconstructive surgeries in the wake of an accident, many periodontists perform grafts to prepare a patient's teeth, gums, and jaw for a dental implant.
Why are bone grafts necessary to the dental implant procedure? The reason is quite simple. Many people need healthy bones in their jaw before undergoing implant placement surgery. Strong bones ensure that the implant remains in place. Think of the bone graft as the strong foundation for all future work your periodontist performs.
Types of Bone Grafts: Which Is Right for You
Bone grafting is a common procedure used to repair or replace damaged bone tissue. Several types of bone grafts are available, each with its own benefits and drawbacks.
Autografts
This option involves extracting bone from the oral cavity or in another place in your body and is considered the standard and most commonly administered option.
Allografts
This option is performed using bone from another individual.
Xenografts
The option is performed using bone from treated and sterilized animal sources.
Determining the type of bone graft that is right for you will depend on several factors, including the location and extent of the damage, your medical history, and your personal preferences. Here at the office of Dr. Suzanne Caudry, we'll work with you to determine the best option for your individual needs and to secure lasting results.
If you need a bone graft and are looking for a doctor who will assess your situation to determine the best approach, we would love to meet with you. Contact our office during business hours to book an in-person meeting with our team.
Bone Grafts are Common
Many people are resistant to seeking out periodontal care because they're worried about risks. In the past, bone grafts might not have seemed very common, but today oral surgeons consider them a standard practice for those who need to strengthen their jawbone. Their sheer popularity ensures that your region's most trusted local oral surgeons will be more than familiar with the procedure. As many have come to learn, there are few periodontists as practiced as Dr. Caudry. With countless successes to her practice's name, Dr. Caudry and her staff have become some of the most respected professionals in their field.
The specialized approach to the bone graft procedure and other oral surgeries has evolved significantly over the decades. Having worked at the forefront of her field since entering the world of periodontics, you can rest easy knowing that Dr. Caudry has embraced the latest innovations and improvements.
Benefit from a Bone Graft
Just because you might not have heard of bone grafts until recently does not mean there are uncommon. The truth could not be any more different. Bone grafts are incredibly common, and they are only increasing in popularity as more people make the decision to improve their oral health.
Just how common are bone graft procedures in this day and age? They are more prevalent than you might think. As many as 50% of the people who undergo dental implant surgery undergo a bone graft procedure beforehand. Needless to say, we are well-practiced and ready to carry out these procedures whenever necessary. You will not have a thing to worry about with Dr. Caudry at the helm-and that is a promise.
Working with Dr. Caudry puts every patient at ease. With hundreds upon hundreds of successful surgeries to her name, you can rest easy knowing that Dr. Caudry and her staff have refined their approach in every way possible. The wonders of computer-guided surgery have only simplified the process for us. As the years go by, we are confident that Dr. Caudry will continue to make leaps in her field.
Popular Reasons for Bone Grafts
There is more than one reason why someone might need a bone graft. Perhaps the bone graft procedure is necessary for the placement of a dental implant or you want to ensure your jawbone remains as strong as possible. Whatever your reasons or concerns, we want you to know that we perform these procedures with great care. It won't take long for you to see the numerous benefits of your bone graft.
Do you want to save yourself from future dental troubles? Do you want to alter the contours of your jaw for cosmetic or practical reasons? If so, you are in luck. Professionals perform dental bone grafts for a variety of reasons.
While many of our patients undergo bone graft surgery so they can later receive dental implants, there are other reasons people might want a bone graft. Bone grafting is popular in the field of cosmetic dentistry, as well.
Bone grafting is a treatment that recreates the natural volume and contours of the bone supporting our teeth. There are three major indications for the build-up of bone (bone grafting):
For aesthetics, to improve contours around teeth and/or maintain the shape of a young, healthy face.
To prevent excessive bone loss after an extraction (ridge preservation),
To replace lost bone (bone reconstruction).
We perform bone graft procedures for a wide variety of reasons. No matter your situation or concerns, you'll find no one better suited to serve you than Dr. Caudry and company. We will make sure your bone graft procedure goes as smoothly as possible. From the initial consultations to the recovery stages of the surgery, we will give you nothing short of the finest care possible.
One of the reasons bone grafts are so common is that they're performed for various reasons. At our facilities, we are more than willing to review your case. A thorough consultation will help us determine whether you might benefit from a bone graft at this point in your life. Book your consultation at your leisure. You will be surprised how much ground we can cover in a brief consult.
The Bone Graft Procedure
How do we succeed in replacing lost bone or stopping bone atrophy? Well, there are a variety of ways professionals go about this. At the facilities of Dr. Caudry, however, we embrace the wonders of the synthetic graft process. The synthetic graft process is cutting-edge and promises nothing short of the finest results possible. With an incredibly high success rate, we can perform the procedure and have you ready for the next stages of the dental implant placement process in little time at all.
About Our Approach
No two periodontal clinics are alike. Some facilities simply have greater surgical capabilities than others, thanks to the cutting-edge technologies available to them. Dr. Caudry's facility is one of those facilities. Over the years, we have amassed some of the most state-of-the-art intraoral scanners and more. Our far-reaching capabilities allow us to streamline the consultation and surgical processes with ease. We are proud of the work we perform.
There are various ways that periodontists might approach the bone graft procedure. Here, we take the approach that prioritizes the overall comfort of the patient. Every aspect of Dr. Caudry's practice is calibrated with patient comfort in mind. We believe that putting the patient at ease and eliminating needless discomfort should be the top priority of any periodontist.
Our approach to the dental implant process differs from others. Rather than grafting bone material from the subject's own body (the autograft) we forgo the need for multiple surgical sites altogether. Relying on protein-based biocompatible materials and allografts, we give your jaw the best chance possible to grow and strengthen itself. Under ideal circumstances, a bone graft procedure can ready a patient for a new dental implant in several months' time.
Would you like to learn more about dental bone reconstruction and graft procedures? Do not hesitate to contact our facilities today. We'll be more than happy to explain our processes and help schedule an appointment for you.
Why Do I Need a Bone Graft?
Are you unsure whether or not you need a bone graft? Have you been told you do need one, but you are not quite sure why? If so, we have the answers needed to put your mind at ease.
A patient might need a bone graft because an unexpected incident might have damaged their jaw. In cases such as these, the need for a graft might be quite urgent. In most cases, however, patients require a bone graft to rebuild their jaw after long-overlooked issues related to jawbone atrophy, gum disease, and tooth loss.
Feel free to direct any other questions to our staff. Dr. Caudry's dream team is always available to address the questions and concerns of people in our community. All you have to do is contact us.
Bone Grafts to Treat Gum Disease
Over the years, we have treated patients who suffer from all sorts of ailments and oral health issues. Some of these patients live with gum disease. They come to us to put an end to the deterioration of bone throughout the jaw. Through the magic of ongoing oral care and dental bone grafts, we can put an end to bone loss. Let us be the ones to treat your gum disease.
Since opening our facilities many years ago, we have helped many of our patients overcome the hardships associated with gum disease (periodontitis). In some cases, a patient's gum disease may progress so far as to put their teeth and jaw at risk. We can manage gum disease through proper oral care and bone grafts, making sure it does not lead to further bone loss.
We speak with many patients who are unaware of just how necessary a bone graft is to their oral health. The reason periodontists and other health professionals might recommend a bone graft vary. It is generally understood that an individual stands the best chance of maintaining oral health if their jaw bone remains in its original form. In short, restoring bone mass to the jaw helps patients avoid unwelcome diseases and oral issues.
Many patients of ours feel comfortable knowing a little about our approach to the bone graft procedure. They are able to discard misinformation and replace it with detailed knowledge about the surgical processes themselves. The more they know, the more comfortable they feel on the day of surgery.
Do you have questions about the bone graft procedure? If so, we invite you to ask them. At the facilities of Dr. Caudry, we take time to address all of the concerns of our clients, no matter what they might be. All you have to do is ask your questions and we will answer them.
What Causes Bone Loss?
Most often, bone loss stems from tooth loss. When an individual loses a tooth, the bones intended to keep teeth in place may gradually wear away. Thankfully, through the advent of innovative safe surgical procedures, professionals like Dr. Caudry can restore the jaw bone. Even with the best dental care, trauma, decay, failed root canals, and advanced periodontal disease can lead to tooth loss. The loss of bone and gum tissue following tooth removal often results in an inadequate foundation for oral reconstruction. This unsightly appearance can make you look older, but more importantly will limit your future options of tooth replacement.
Today, there are effective techniques that can prevent or greatly reduce the bone and soft tissue loss that normally occurs with tooth loss. Bone grafting is a simple procedure. It involves placing grafting material directly into the site following tooth removal. The Allograft - a safe, biocompatible material - aids the body in preserving existing bone and in making new bone.
Benefits of a Bone Graft
For those who are uneasy about sitting in the dentist's chair, it can be hard to see the benefit of a bone graft. Rest assured, there are numerous long-term and short-term benefits to this restorative surgical procedure. At the facilities of Dr. Caudry, you'll reap these benefits and more.
Restoring Bone, Restoring Confidence
A bone graft has the power to restore and refortify your jaw-but a bone graft can also prepare your jaw for future oral procedures, too. The work carried out by your oral surgeon will not only restore oral health-it will restore your confidence, too.
For some of our patients, the loss of jaw bone has altered their appearance. For others, simply the loss of teeth has made them insecure and unwilling to share their smile with the world. A bone graft can restore your jaw bone to its former glory, while also setting the stage for future dental work. After your bone graft has healed, we can proceed with planning your dental implant surgical procedure. With the help of computer-guided dentistry-a specialty of Dr. Caudry and her team-your dental implant surgery will go as smoothly as possible. Do you find yourself short on confidence because of missing teeth? Let us rebuild your jaw so you can regain your confidence.
Stop Atrophy in its Tracks
When an individual loses a tooth, the surrounding jaw bone is left with an empty space. Many people may feel content with a missing tooth, especially if it is not visible to other people, but sometimes a missing tooth can lead to oral issues in the future. One of these issues is called bone atrophy.
Bone atrophy usually occurs within the first three years after tooth extraction. Not only will jaw bone deteriorate, but you might also see a change in how you chew your food or speak. What's more, the remaining teeth in your mouth will likely shift. With a bone graft, you can stop these issues in their tracks.
Bone loss leads to more bone loss. To stop atrophy in its tracks and restore your jaw, a bone graft is the right choice. With Dr. Caudry at the helm of your grafting procedure, you'll get nothing but the finest results possible
Bone Graft Procedure: What to Expect
We aim to educate and inform our patients. If you have questions, we want you to ask them. If you have concerns, we will surely address them. Many patients feel more comfortable scheduling a bone graft procedure or other forms of dental surgery whenever they know what to expect. We will make sure you know all about the safe, time-honored, and professional approach that we take.
Prior to your surgery, we might suggest that you abstain from certain foods and beverages. That said, we do not always recommend that patients fast before surgery. After surgery, it might be difficult to eat specific foods - this is why it is sometimes wise to maintain a regular diet in the days leading up to the surgery.
Treatment takes approximately one hour. It involves the removal of the tooth, careful debridement and the reconstruction of bone using Allografts (from donor bone material). Allografts are the most advanced biocompatible materials. Other materials are available and can be discussed during your treatment plan. The great advantage of including bone grafting with an extraction is that there is nearly no risk of dry socket or infection because the extraction socket is covered.
After the procedure, your body should begin the natural process of healing and forming new bone. Although new bone will begin to form within the first few weeks after grafting, several months will be required to form the bone density necessary for additional dental procedures such as the placement of dental implants.
Tips for Tending to Your Bone Graft
While the bone graft procedure may not take much time, the post-surgical recovery period can last several days. Prior to your dismissal, we will outline the ways you can care for your teeth and gums at home in the following days.
Change Your Gauze Regularly
During the first crucial hours of the post-surgical period, you will need to bite on gauze for 20 minutes. This usually ensures that bleeding will be controlled.
Steer Clear of Rinsing
Every dutiful patient wants to take care of their teeth after procedures like these-and we don't blame them. That said, there are some cleaning methods you should steer clear of during the initial few days of recovery. One of these methods is rinsing. Be sure to avoid intensive rinsing during this period, as you run the risk of dislodging the healthy clot that covers the surgical area.
How Long Is the Recovery Period?
Despite the sophisticated nature of this surgical procedure, the recovery period is not as long as one might expect. The most crucial period of recovery comes to a close in as little as two weeks, in fact. For those who are hoping to receive a dental implant in the future, they may have to wait several months for sufficient bone growth. After we have determined that the graft has successfully strengthened the bone, we will proceed with the implant placement procedure.
Oral Surgery done Dr. Caudry's Way
We take pride in our cutting-edge approach to oral surgery. In our facilities, we blend the refined modes of patient care with the latest innovations in surgical technology. Our forward-thinking approach ensures patients receive nothing short of the finest care possible today. From digital dental impressions to computer-guided surgery, every aspect of the patient experience has been optimized with you in mind.
Putting Patients At Ease
Many people feel overcome with nervousness when they enter a dentist's office. Having treated countless patients over the decades, we have come to anticipate these sorts of feelings. When you walk into our facilities, we promise tranquility and comfort at every turn. We will answer all your questions, address all your concerns, and so much more. Patient-centered care is our top priority.
We understand the reasons why many people may feel wary about visiting the dentist or oral surgeon. People don't like spending time in the dentist's chair if they can avoid it, after all.
At our facilities, we have utilized the most cutting-edge technologies, and we've done so only to improve the overall patient experience.
From the grafting process to the implant placement procedure, we will treat you to an experience like no other. We promise less time in the dentist's chair, less discomfort, and more.
A High Success Rate
When people hear any mention of surgery, they automatically assume that there are risks involved. While there are some stray risks when undergoing a bone graft, we are here to tell you that this advanced form of oral surgery is incredibly safe. In fact, bone graft procedures boast a higher success rate than most people expect.
As far as bone graft surgeries go, they are one of the most straightforward surgeries undertaken by professionals today. We can credit their high success rate to the periodontists who have made countless innovations in our field. Without professionals like Dr. Caudry, we would not be able to promise such incredible results.
At the facilities of Dr. Caudry, we only perform surgeries and procedures that we feel confident in. We would never think of introducing a procedure that had a low success rate, and we'd never want to subject a patient to a needless procedure. If you are worried about the success rate of our dental bone grafting, we are here to put those concerns to rest.
Many of our patients are curious about the success rate of bone grafts. In today's world-and in our facilities-bone grafting is little more than a routine procedure with a high rate of success. After we complete the bone grafting procedure, we will teach you how to properly care for the surgical site at home. In as little time as several weeks, new bone will begin to form. After several months, you will have achieved optimal bone density. With your newly restored jaw bone, you will be ready for dental implants or whatever the future has in store.
The high success rate of bone graft procedures and our team's commitment to excellence ensures you'll get nothing but the finest results possible. Dr. Caudry doesn't just work with the finest equipment-Dr. Caudry is one of the finest oral surgeons in the GTA and beyond. You won't just see typical results. You will see excellent results.
That said, not everyone may be a candidate for a dental bone graft. Despite the attractive success rate of this procedure, there are those who are medically compromised and this procedure may not be indicated.
Is a Bone Graft Right for Me?
Have health conditions and other issues gotten in the way of surgical procedures in the past? Are you unsure whether or not you might be a suitable candidate for a bone graft procedure? Many people worry that this might be the case-but there is no way of really knowing until you visit a professional.
Many people have gone years-or even decades-without visiting an oral health professional. Their lack of time in the dentist's chair leaves them thinking that they can manage their periodontal issues on their own. They can chew their food with minimal difficulty after losing several teeth, and they hardly notice that they have lost any bone in their jaw.
Unfortunately, many of the problems associated with jawbone loss may take some time to manifest. Insufficient bone support in the jaw can also impede future periodontal procedures. Don't tell yourself that you are ineligible for bone graft surgery before you seek out the opinion of a professional. You might be surprised what you learn from your dentist or Dr. Caudry.
Are you unsure whether you are a worthy candidate for this procedure? Schedule a consultation at our facilities. Depending on your bill of health, we may be able to devise a treatment plan that will bring your oral health to sufficient levels.
How to Prepare for Dental Bone Grafting
While we understand that oral surgery can be intimidating, dental bone grafting is a relatively straightforward procedure that most patients find stress-free. If you have a procedure upcoming, here is a list of our recommendations to help get you prepared:
- Inform our team of any medications you are currently on, as some may need to be temporarily paused before surgery.
- Make plans for transportation because the anesthesia will leave you feeling groggy.
- Prepare your medicine cabinet with pain medication and oral mouthwash before the day of the procedure.
- Avoid eating and drinking anything 8-12 hours before the procedure.
Are You a Suitable Candidate for Bone Grafting?
Are you considering getting a bone graft to add volume and thickness to your jaw in a region where bone loss has occurred due to extraction or oral disease? Dr. Suzanne Caudry and her team routinely perform this procedure, and here are some of the more common factors that make someone the perfect candidate.
To Prepare for a Dental Implant
A bone graft is often necessary for dental patients who have insufficient jaw bone but are planning to receive a dental implant. The graft will add thickness to the bone to adequately support the implant. Since implants rely on osseointegration as the firm anchoring for primary support, the bone graft is needed to encourage bonding between the bone and the implant, creating a solid foundation for the crown. If you are planning to receive a dental implant to prepare for a crown, you will qualify as a suitable candidate for bone grafting.
Periodontal Disease and Tooth Loss
Periodontal disease, which is severe gum infection and tooth loss, are the two most common causes of oral bone loss. In either case, bone grafting is highly recommended to support the jaw that has suffered excessive bone dissolution. Bone loss can negatively impact the adjacent teeth and connecting gum tissues if left untreated, so we recommend that anyone suffering from this be orally assessed to determine whether grafting will bring resolution to the surrounding teeth and tissues. If you don't want to receive implants, you will still be a candidate for grafting to stabilize your jaw and avoid additional bone loss.
To Rebuild Bone Loss for Cosmetic Reasons
Bone degradation caused by tooth loss can alter the symmetry of one's face or cause areas to appear hollow due to a lack of jaw support. If this has happened to you, we would consider you a suitable candidate for grafting. In this case, the grafting will reinforce stability in the jaw and prevent further loss from occurring.
We welcome you to contact our medical office to learn more about whether bone grafting is for you. The only way to know for certain is by evaluating your oral and overall health. If we determine that grafting is the most practical solution to your oral health issues, we will move forward with a plan to prepare you and perform the procedure when you are ready.
Learn More About Bone Grafts
Do you find yourself with more questions about bone grafts? Luckily, we have the answers-and we are always available to speak to a new patient. Contact the facilities of Dr. Caudry at your leisure to speak with a member of her incredible staff. We will answer whatever questions you have. If needed, we will even outline the steps needed to secure the wonderful bone grafting services of Dr. Caudry.
